Menu
Case histories
Lectures
Benign nodular hyperplasia
List of cases
Videorecords
Pitfalls
Course book
Course on US
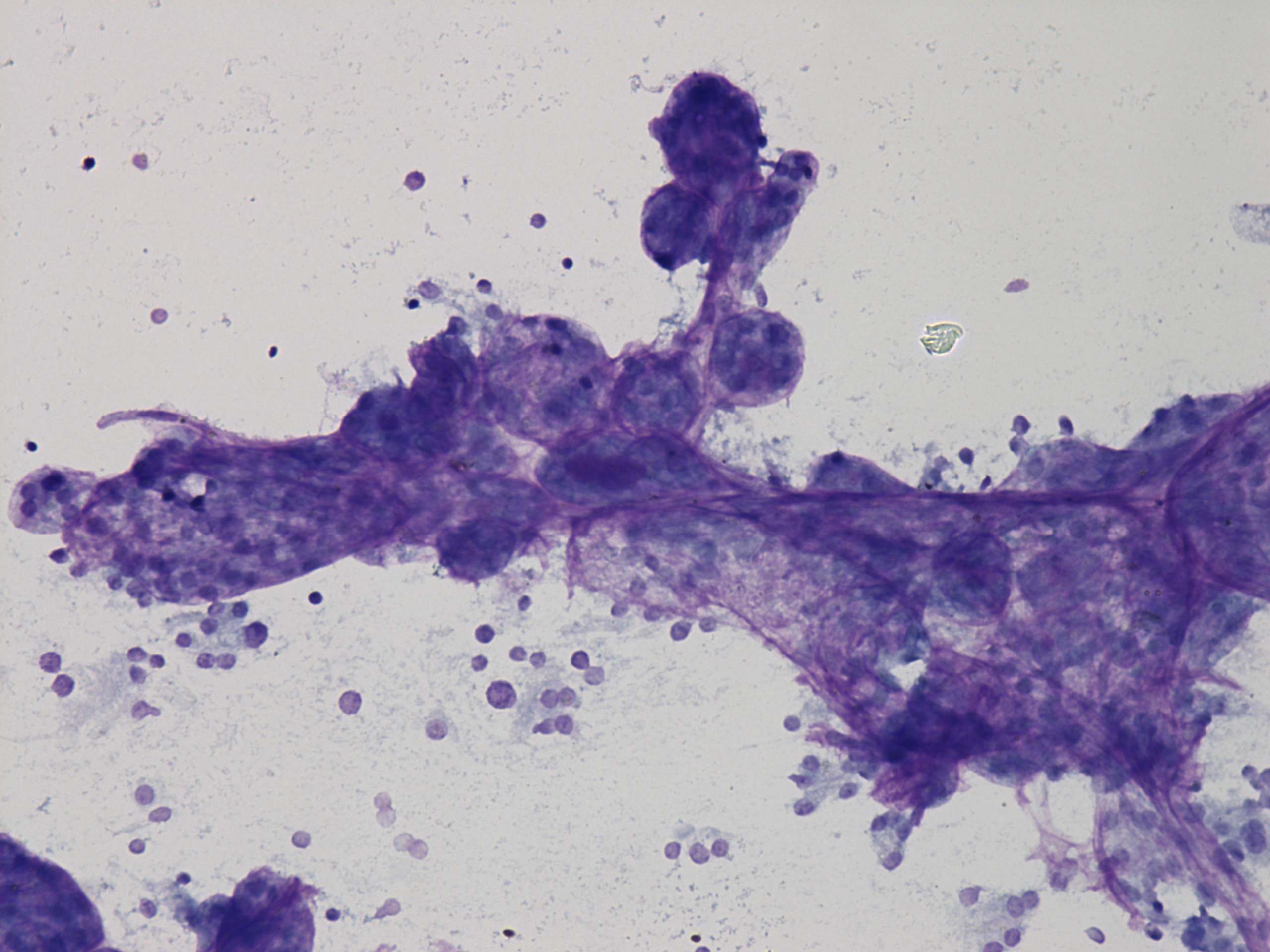
Benign nodular hyperplasia - Case 59. (cytologic picture 3)
Wright-Giemsa staining, 200x.
Follicular cells display marked anisonucleosis.