Menu
Case histories
Lectures
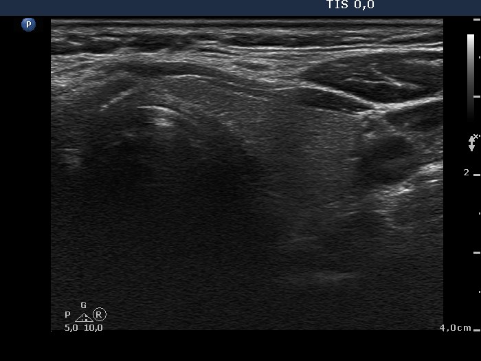
Benign nodular hyperplasia
List of cases
Videorecords
Pitfalls
Course book
Course on US
Benign nodular hyperplasia - Case 59. (ultrasonographic picture 7)
Left lobe, horizontal view. This lobe is intact.