Menu
Case histories
Lectures
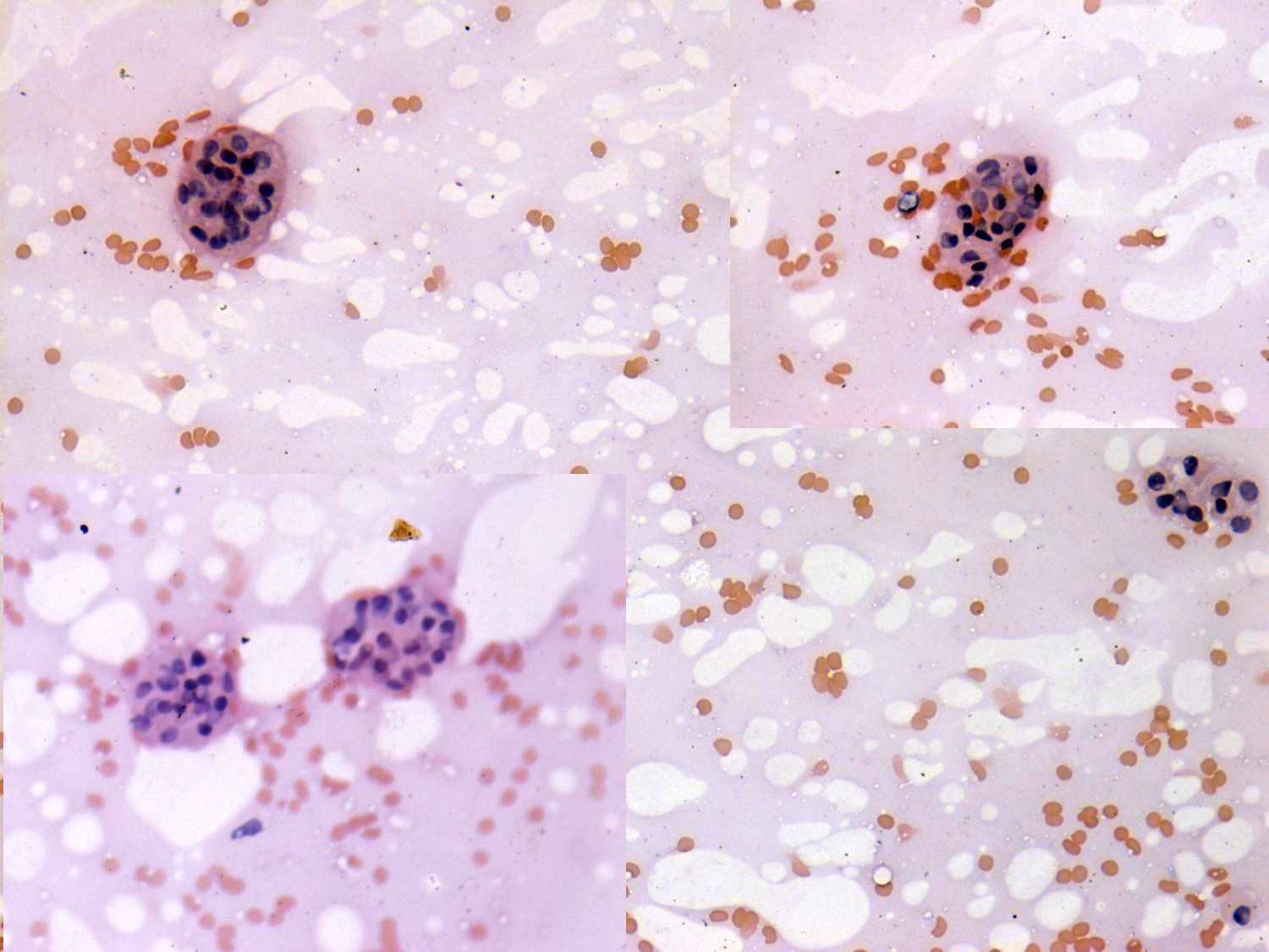
Benign nodular hyperplasia
List of cases
Videorecords
Pitfalls
Course book
Course on US
Benign nodular hyperplasia - Case 26. (cytologic picture 2)
Pap-smear, 200x. Small, non-specific clusters.