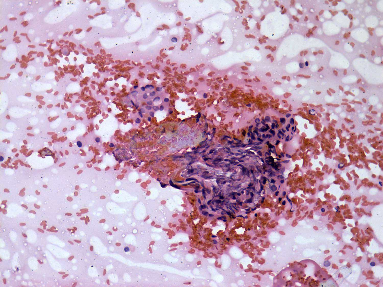
Benign nodular hyperplasia - Case 26. (cytologic picture 3)
|
|
|
|
|
Pap-smear, 200x. The upper-left cell group is composed of oxyphilic cells while the other larger one is composed of degenerated cells. The latter is similar to a multinucleated giant cell of a de Quervain's thyroiditis.

