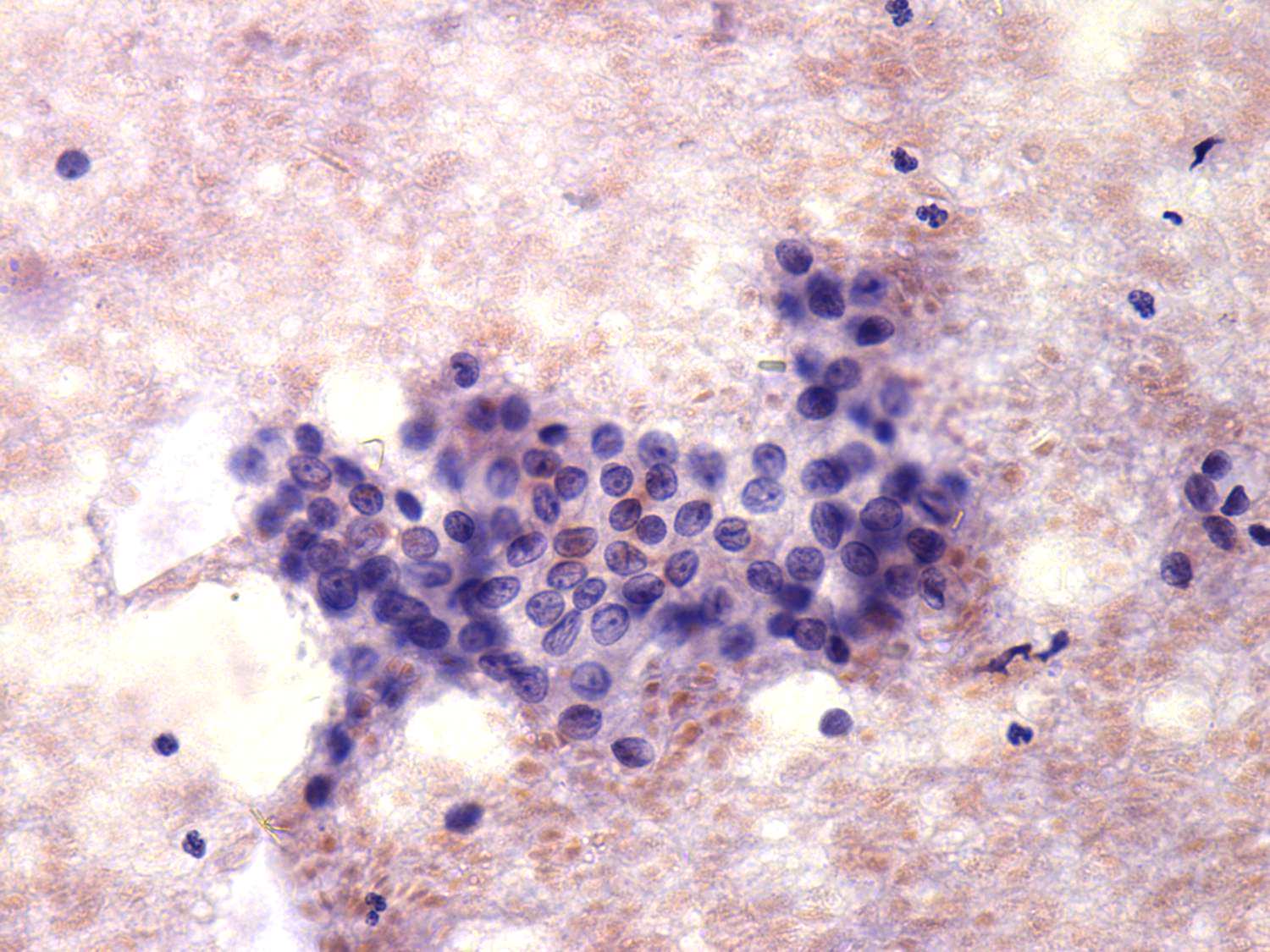
Benign nodular hyperplasia - Case 12. (cytologic picture 4)
|
|
|
|
|
Pap-smear, 400x. A three-dimensional cluster. Follicular cells display prominent nucleoli, scratchy chromatin structure. Great proportion of cells contains groove.

