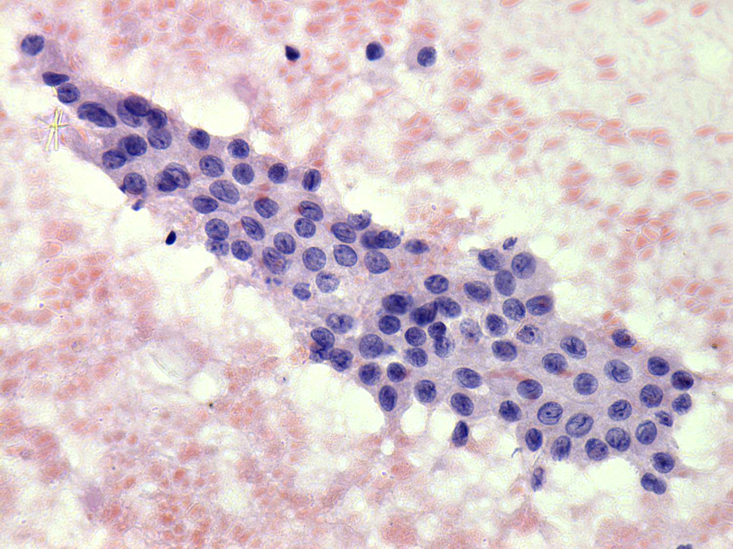
Pap-smear, 400x. A monolayered sheet of follicular cells which present grooves and irregular scratchy chromatin structure.