Menu
Case histories
Lectures
Benign nodular hyperplasia
List of cases
Videorecords
Pitfalls
Course book
Course on US
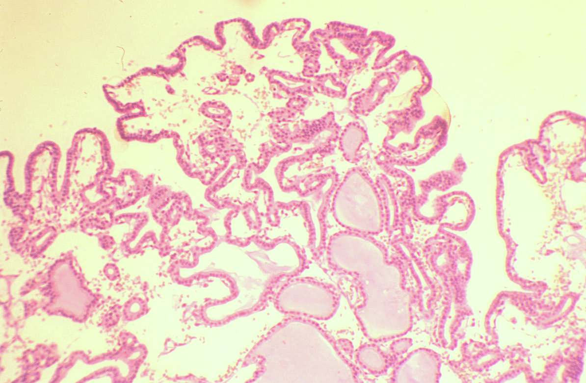
Benign nodular hyperplasia - Case 47. (histological picture 1)
H.-E. intraoperative frozen section, 40x. Papillary structures with loose edematous stroma.