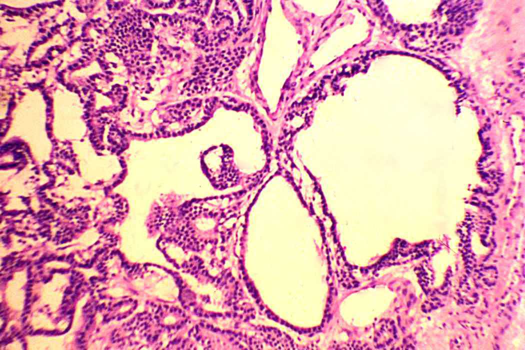
Benign nodular hyperplasia - Case 47. (histological picture 2)
|
|
|
|
|
H.-E. intraoperative frozen section, 100x. There is papillary proliferation in the dilated follicles but there is no sign of infiltration.

