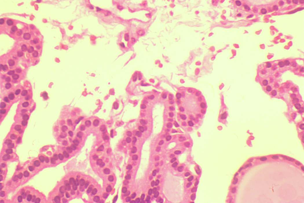
H.-E. intraoperative frozen section, 200x. Papillary structures are demonstrated in loose thick stromal tissue.