Menu
Case histories
Lectures
Benign nodular hyperplasia
List of cases
Videorecords
Pitfalls
Course book
Course on US
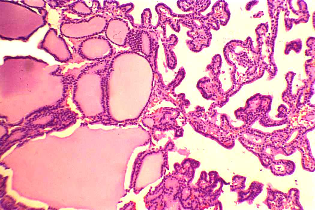
Benign nodular hyperplasia - Case 47. (histological picture 6)
H.E. section, 200x. Note the lack of vesicular nuclei.