Menu
Case histories
Lectures
Benign nodular hyperplasia
List of cases
Videorecords
Pitfalls
Course book
Course on US
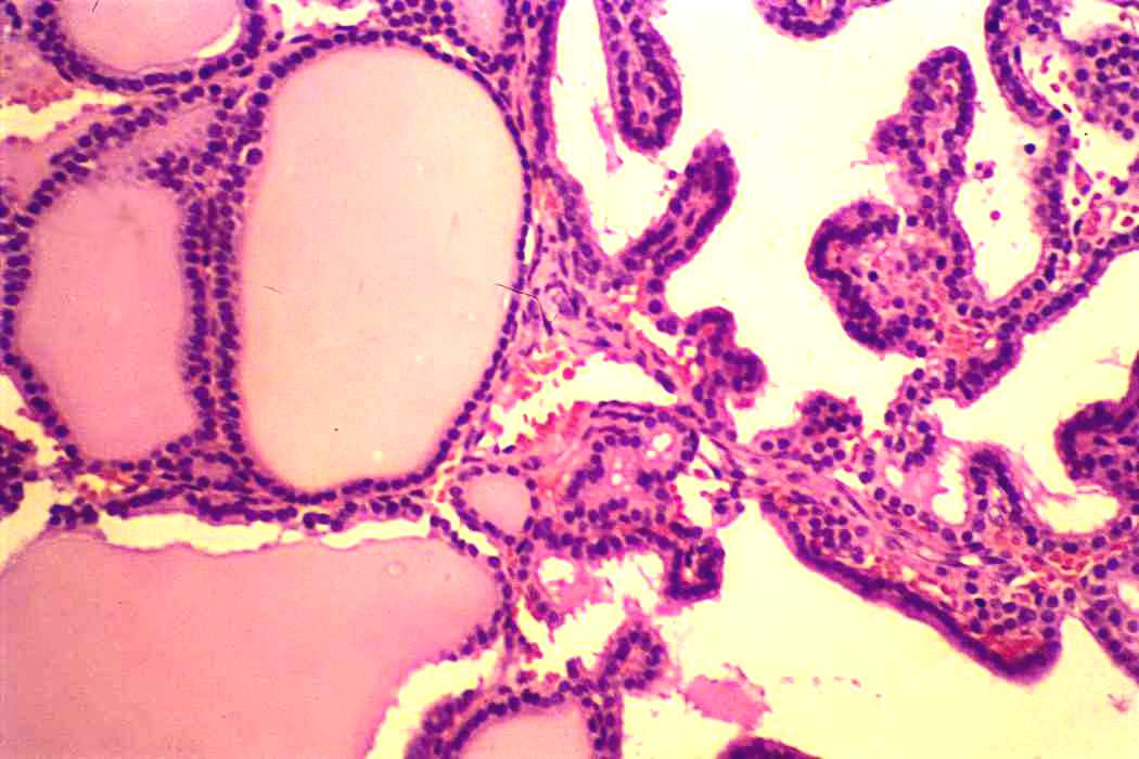
Benign nodular hyperplasia - Case 47. (histological picture 7)
H.E. section, 200x. Follicular cells lack significant atypia.