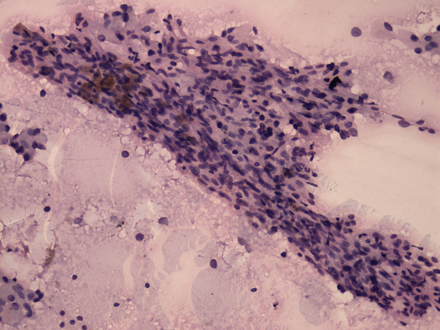
Benign nodular hyperplasia - Case 54. (cytologic picture 3)
|
|
|
|
|
Pap-smear, 200x. A fragment of a papillary cluster. Note elongated fibrocytes and macrophages with brown pigments.

