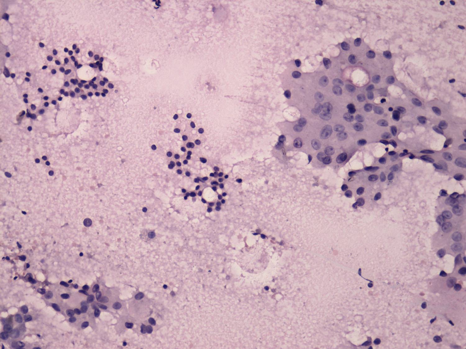
Benign nodular hyperplasia - Case 54. (cytologic picture 4)
|
|
|
|
|
Pap-smear, 200x. Two different cell populations are demonstrated. The left lower and the right cluster is composed of cells presenting prominent nucleoli and abundant cytoplasm while the other two groups are composed of typical follicular cells.

