Benign nodular hyperplasia - Case 19. |
|
Clinical presentation: a 42-year-old woman was examined because of her infertility issues. A thyroid nodule was found and the patient was referred for further evaluation.
Palpation: no abnormality.
Functional state: euthyroidism (TSH 1.41 mIU/L, FT4 15.9 pM/L, anti-TPO 2 U/mL).
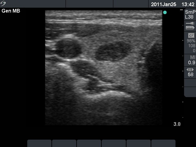
Ultrasonography: a hypoechogenic nodule with a type 3 vascular pattern in the right lobe.
Cytology: resulted in benign colloid goiter with oxyphilic metaplasia.
Comment: cytodiagnosis is based on the consideration of several cytological properties. Oxyphilic metaplasia can be found in practically every thyroid disorders. In this case, the presence of thick colloid, the cellular arrangement and the lack of other atypical sings stood for a colloid goiter.








