QUICK TOUR - Case studies - sample case 2 of 6:Other edifying cases - Case 12 |
|
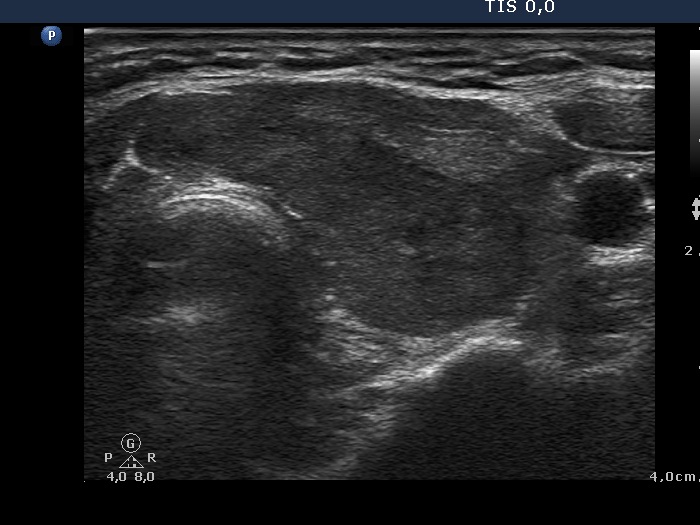
Clinical data: a 52-year-old hypothyroid woman was referred for an evaluation of a nodule detected by an ultrasound examination.
Palpation: the thyroids were moderately firm. No nodule could be palpated.
Functional state: euthyroidism on daily 75 microgram levothyroxine TSH 2.03 mIU/L.
Ultrasonography: the thyroids were moderately hypoechogenic. The dorsal 4/5 of the left lobe was more hypoechogenic. This hypoechogenic area could be followed all along the dorsal part of the left lobe and the isthmus.
Cytology: Hashimoto's thyroiditis.
Comment: the shape of a nodule is egg- or ball-shaped. A pipe-shaped formation like a vessel or muscle fiber or as in this case a large area of the thyroid with different echo structures may mimic a nodule. But in the latter cases if we put the transducer in line with the formation we can notice the pipe-like shape. Conversely, if we put the transducer in other angles, first of all perpendicular to the object then it seems to be a nodule.
The case is presented among cases of chronic lymphocytic thyroiditis cases, too (No 15)
.




