QUICK TOUR - Case studies - sample case 3 of 6:Papillary carcinoma - Case 11. |
|
Clinical data: a 56-year-old man referred for ethanol sclerotherapy. He was discovered harboring an enlarged right thyroid causing already difficulties in swallowing. Aspiration cytology resulted in benign colloid goiter. Ha was an actor and therefore his endocrinologist offered sclerotherapy instead of surgery.
Palpation: an enlarged nodular right thyroid.
Functional state: euthyroidism (TSH 0.17 mIU/L, FT4 13.2).
Ultrasonography: a large lesion composed of multiple moderately hypoechogenic and hyperechogenic nodules occupies almost the entire right lobe. There was a small hypoechogenic nodule in the upper pole while a cystic nodule in the central part of the left lobe. The former presented coarse and microcalcifications, too. The vascularization was not specific.
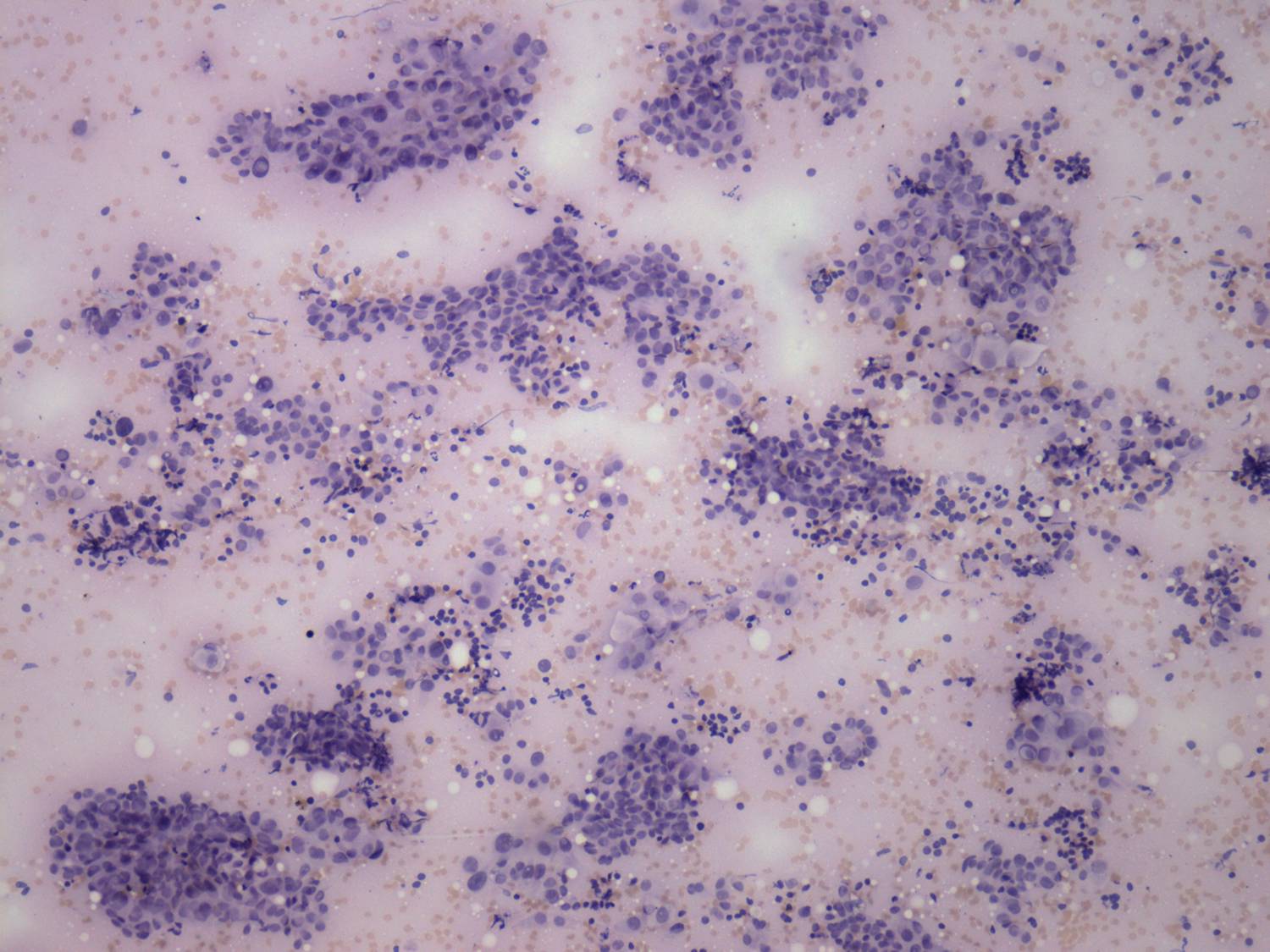
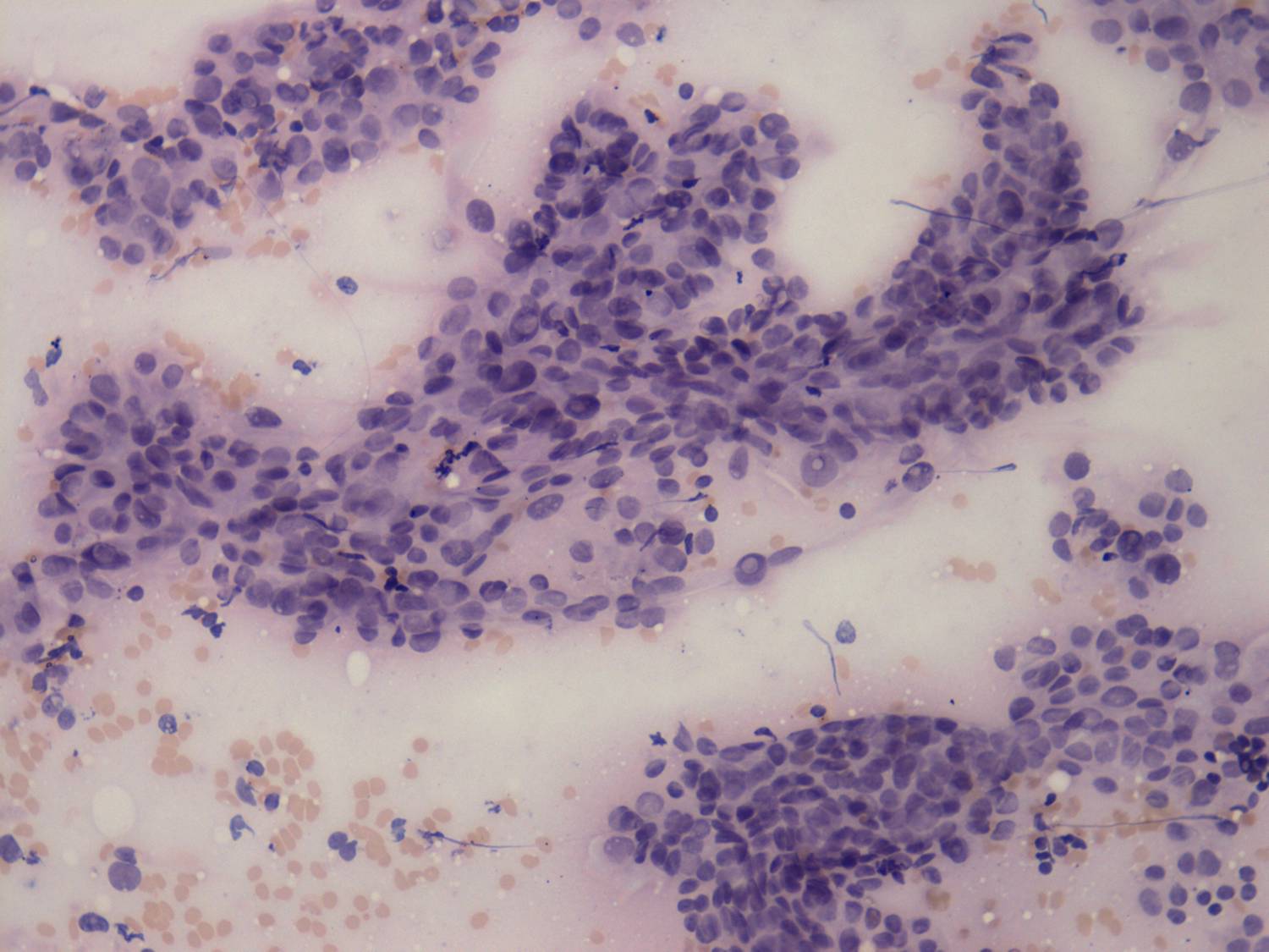
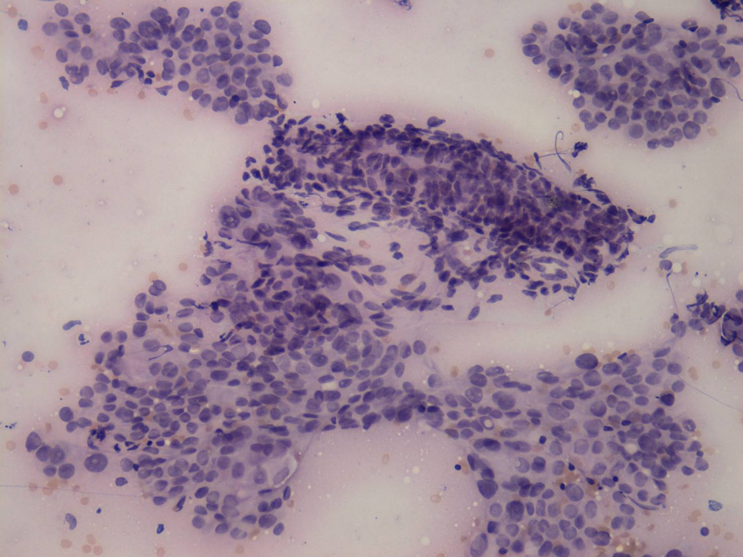
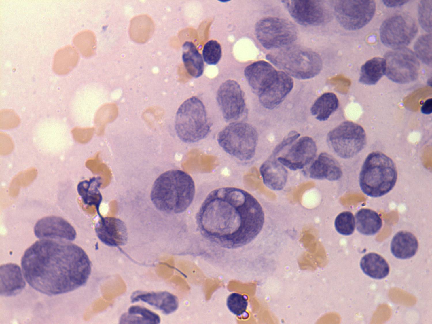
Cytology was performed form the nodule in the upper pole of the left lobe and resulted in papillary cancer.
Total thyroidectomy was performed. Histopathology disclosed three distinct entities in the thyroid.
-
Benign hyperplastic nodules in the right lobe.
-
Papillary carcinoma with metastases to the lymph nodes in the upper pole of the left lobe
-
Follicular adenoma with cystic degeneration in the dorsal part of the left lobe.
Comment. A nodule in the upper or in the lower pole of the thyroid are those lesions which can be overlooked most frequently. In this case another investigator missed the nodule, but I have to confess that I have made similar failure in several cases.









