Menu
Case histories
Lectures
Papillary cancer
List of cases
Videorecords
Pitfalls
Course book
Course on US
QUICK TOUR
- Case studies - sample case 3 of 6:
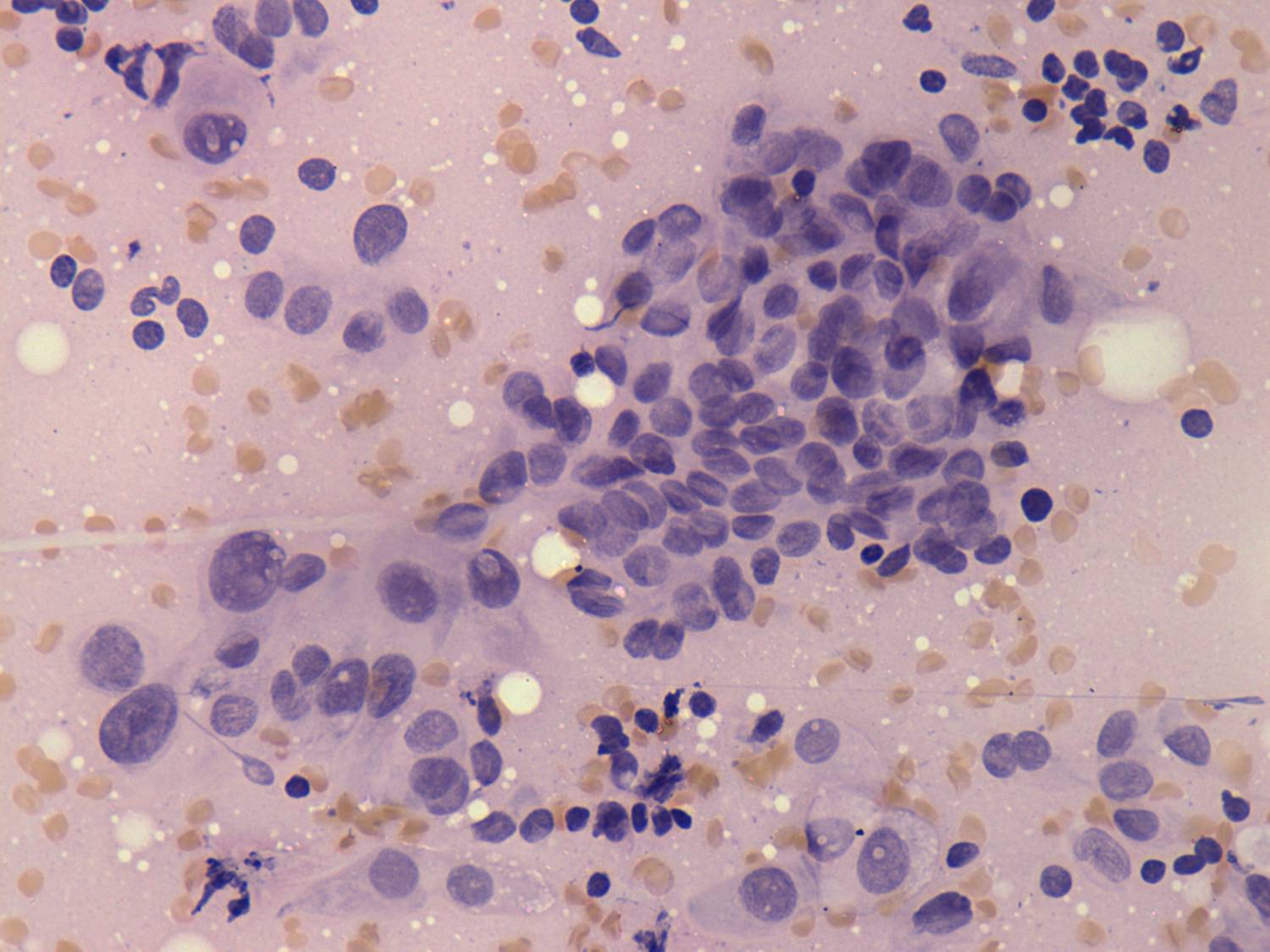
Papillary carcinoma - Case 11. (cytologic picture 4)
Pap-smear, 400x. Atypical, pleomorphic forms can be seen. Note nuclei containing typical inclusion.