Prev

Graves' disease - case 1049

Nodular goiter

Next

 

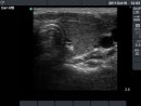
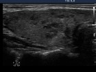
First examination (first row):

Clinical presentation: A 29-year-old woman was referred for evaluation of complaints suggesting hyperthyroidism. She had no eye signs.

Palpation: Both lobes were enlarged. No nodule was palpable.

Laboratory examination: see Table.

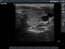
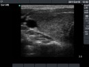
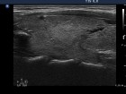
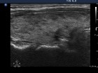
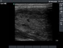
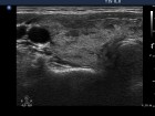
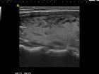
Ultrasonography: Both lobes were enlarged, moderately hypoechogenic, inhomogeneous and displayed increased vascularization.

Diagnosis: Graves' hyperthyroidism.

Suggestion: daily 30 mg methimazole and after normalization of FT4-level radioiodine therapy. The patient wished to avoid definitive treatment.

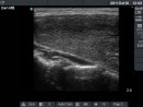
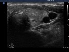
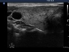
Follow-up examinations (rows from 1st to 8th):

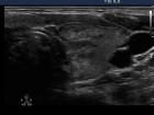
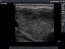
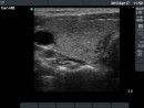
Corresponding sonographic images (row)
Months spent after the 1st examination
Volume of the thyroid (mL)
Therapy before examination
Results of laboratory examinations
Suggestion after examination
TSH (mU/L)
FT4 (pM/L)
TSAb (U/L)
1
0
47.6
Nothing
0.03
71.1
30 mg methimazole
2
12
17.2
10 mg methimazole
1.92
15.9
6.0
10 mg methimazole
3
18
21.7
5 mg methimazole
0.71
16.4
0.3
Discontinuation of methimazole
4
30
16.7
Nothing
0.06
41.5
15
20 mg methimazole
5
32
35.7
Nothing *
0.01
51.4
20 mg methimazole
6
33
15.2
20 mg methimazole
0.03
18.7
10 mg methimazole
7
36
23.9
10 mg methimazole
0.51
13.6
5 mg methimazole
8
40
29.0
5 mg methimazole
6.91
10.7
Plus 50 ug l-tiroxine

* The patient attempted to treat herself with homeopathic products.

Comments:

1. The patient initially presented with a large thyroid, therefore we suggested definitive therapy.

2. Note the relation between volume, echogenicity, vascularization and hormone levels.

 

 

 

 

 
mask