Graves' disease - case 1049 |
|
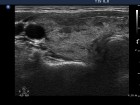
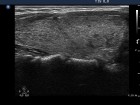
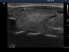
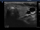
First examination (first row):
Clinical presentation: A 29-year-old woman was referred for evaluation of complaints suggesting hyperthyroidism. She had no eye signs.
Palpation: Both lobes were enlarged. No nodule was palpable.
Laboratory examination: see Table.
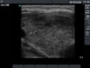
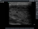
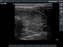
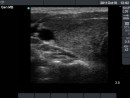
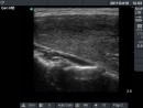
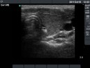
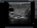
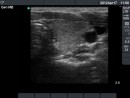
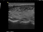
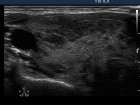
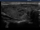
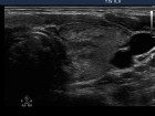
Ultrasonography: Both lobes were enlarged, moderately hypoechogenic, inhomogeneous and displayed increased vascularization.
Diagnosis: Graves' hyperthyroidism.
Suggestion: daily 30 mg methimazole and after normalization of FT4-level radioiodine therapy. The patient wished to avoid definitive treatment.
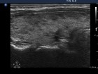
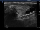
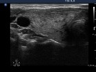
Follow-up examinations (rows from 1st to 8th):
| Corresponding sonographic images (row) |
Months spent after the 1st examination |
Volume of the thyroid (mL) |
Therapy before examination |
Results of laboratory examinations |
Suggestion after examination |
||
| TSH (mU/L) |
FT4 (pM/L) |
TSAb (U/L) |
|||||
1 |
0 |
47.6 |
Nothing |
0.03 |
71.1 |
30 mg methimazole |
|
2 |
12 |
17.2 |
10 mg methimazole |
1.92 |
15.9 |
6.0 |
10 mg methimazole |
3 |
18 |
21.7 |
5 mg methimazole |
0.71 |
16.4 |
0.3 |
Discontinuation of methimazole |
4 |
30 |
16.7 |
Nothing |
0.06 |
41.5 |
15 |
20 mg methimazole |
5 |
32 |
35.7 |
Nothing * |
0.01 |
51.4 |
20 mg methimazole |
|
6 |
33 |
15.2 |
20 mg methimazole |
0.03 |
18.7 |
10 mg methimazole |
|
7 |
36 |
23.9 |
10 mg methimazole |
0.51 |
13.6 |
5 mg methimazole |
|
8 |
40 |
29.0 |
5 mg methimazole |
6.91 |
10.7 |
Plus 50 ug l-tiroxine |
|
* The patient attempted to treat herself with homeopathic products.
Comments:
1. The patient initially presented with a large thyroid, therefore we suggested definitive therapy.
2. Note the relation between volume, echogenicity, vascularization and hormone levels.








































