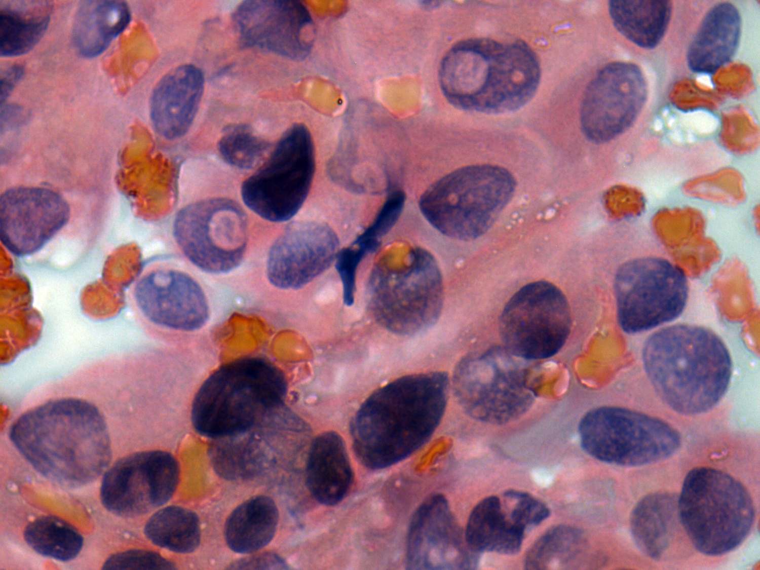
Characteristic cytological properties - intranuclear inclusions
Papillary cancers - Case 28
Papillary cancers - Case 24

Papillary cancers - Case 39
The presence of inclusions is the most specific sign of a papillary carcinoma. Intranuclear inclusions are invagination of nuclear membrane - therefore these are in fact pseudoinclusions. One of the most important tasks of a thyroid cytopathologist is the correct differential diagnostic of intranuclear holes. These may be projections of extracellular or cytoplasmic vacuoles and drying artifacts, as well. The shape of a pathognomic inclusion is regular and round, and presents a dark rim corresponding to the invaginated and condensed nuclear membrane. Nevertheless, intranuclear inclusions may be observed not only in other thyroid malignancies but even in benign cases. The presence of inclusion is the most important sign of a papillary carcinoma but has to be considered in combination of other cytological properties.
mask