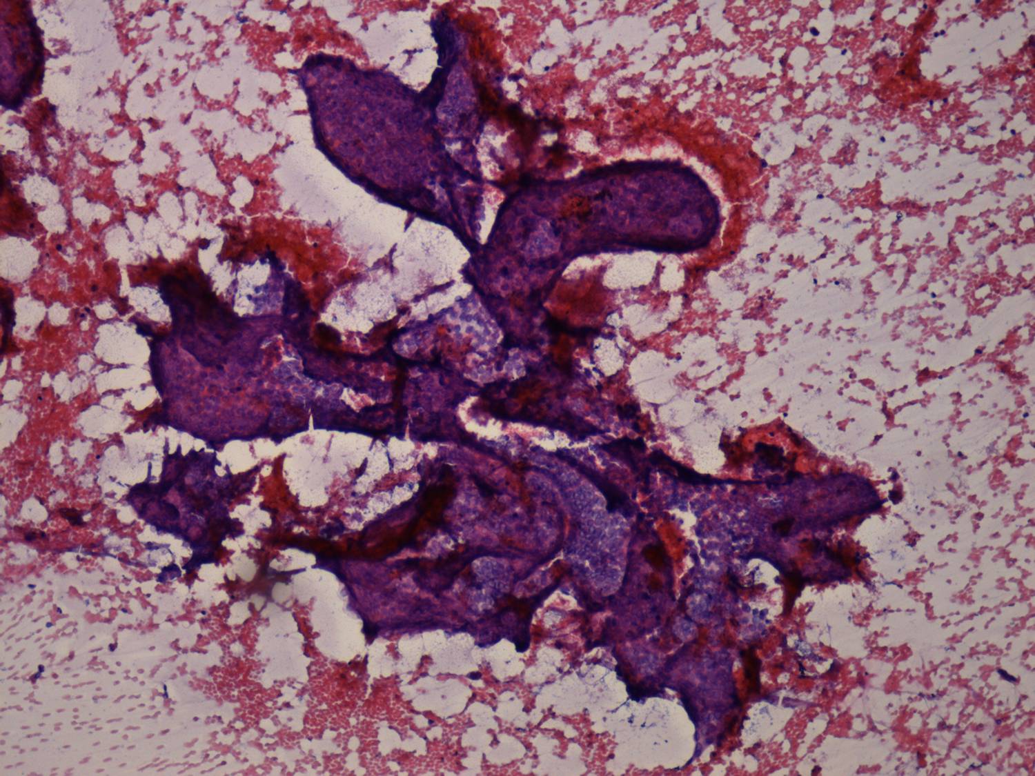
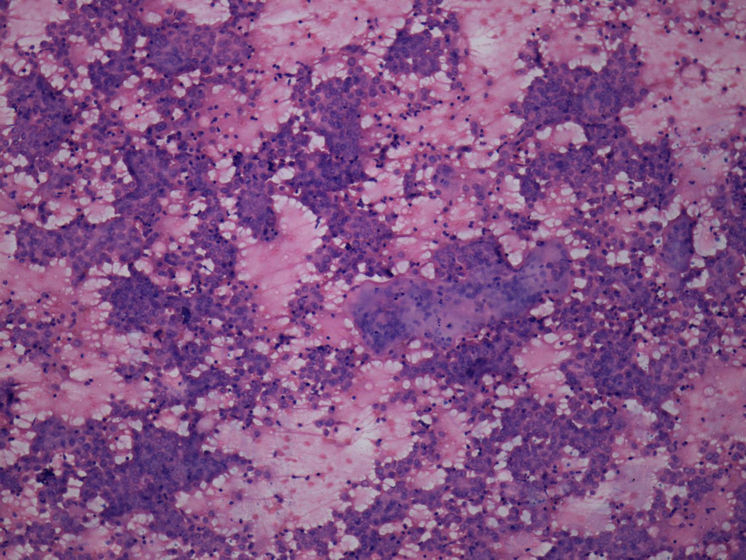
Characteristic cytological properties - papillary clusters
Papillary cancers - Case 24
Papillary cancers - Case 3

Papillary cancers - Case 57


Papillary cancers - Case 12


Papillary cancers - Case 30

Papillary clusters are three-dimensional structures. They may be arborizing. In the case of a papillary carcinoma, the edge of these clusters are smooth. There is no or only limited tendency of cells to dissociate. Within the papillary groups nuclear crowding and overlapping can be observed.

mask