Characteristic cytological properties - arrangement of cells
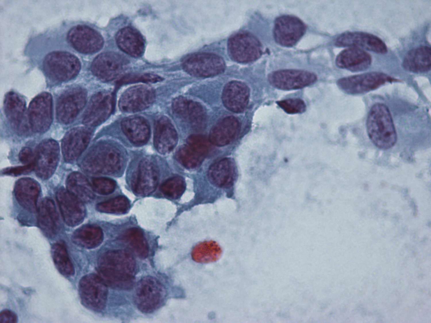
Papillary cancers - Case 54

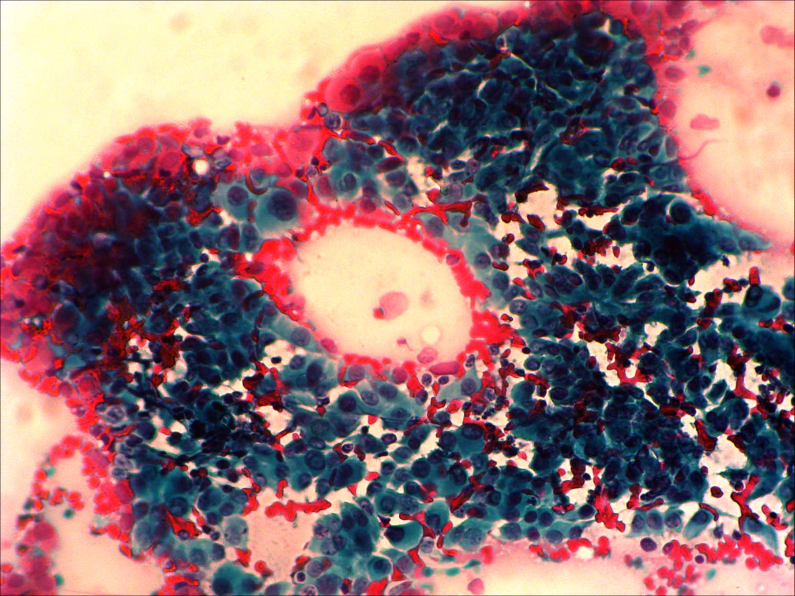
Papillary cancers - Case 32

The irregular arrangement of cells is a characteristic sign of papillary cancer. It means nuclear crowding and overlapping and loss of polarity of cells within structures.

mask