|
|
 |
 |
|
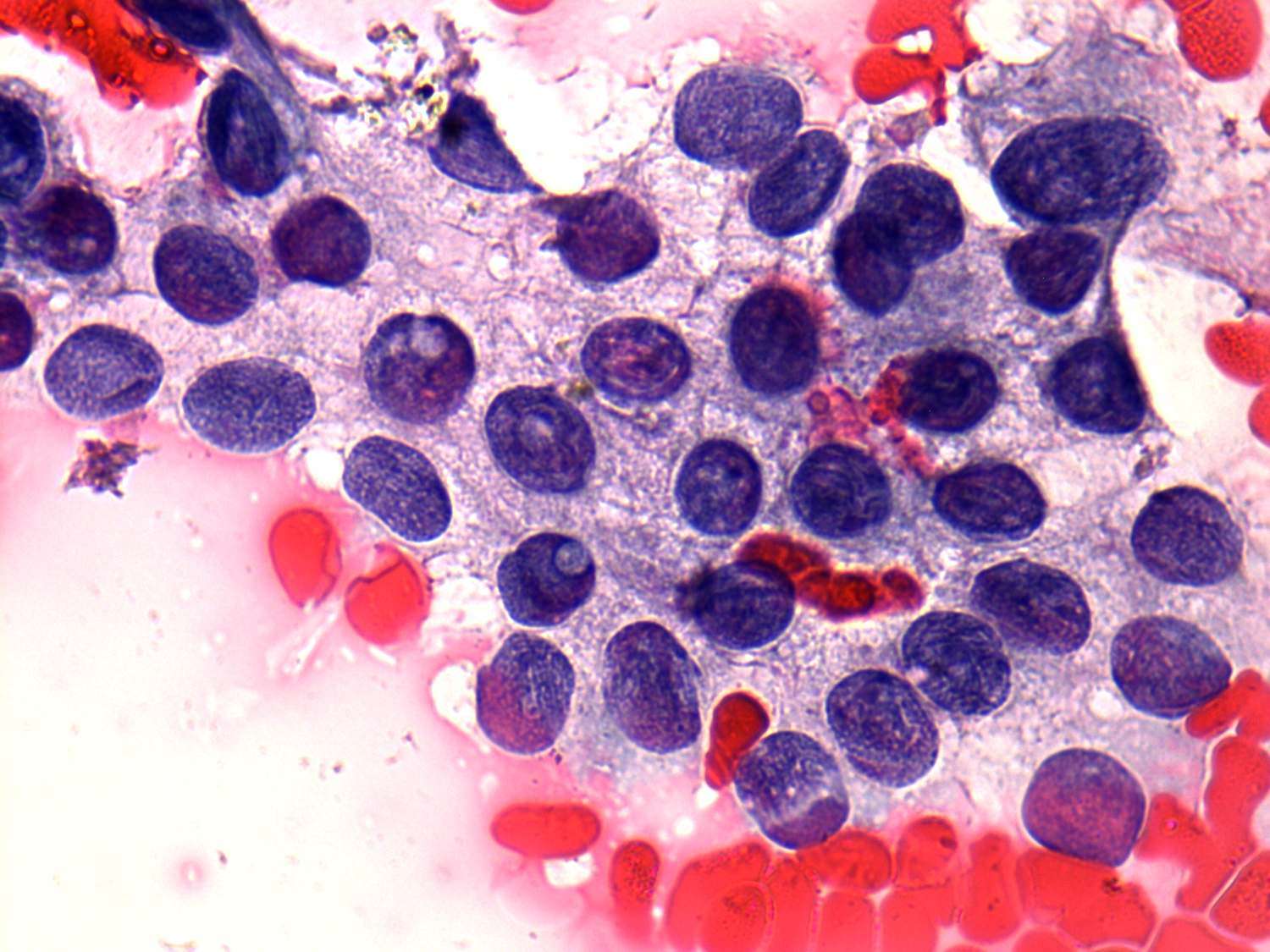
The images demonstrate the differential diagnostic of intranuclear
holes. These may be projections of extranuclear vacuoles (marked with
yellow in the image) or pathognomic inclusions (marked with red) or
drying artifacts. The shape of a pathognomic inclusion is regular,
round with sharp borders. The latter is a dark rim of condensed nuclear
membrane.
|
|
|
 |
 |
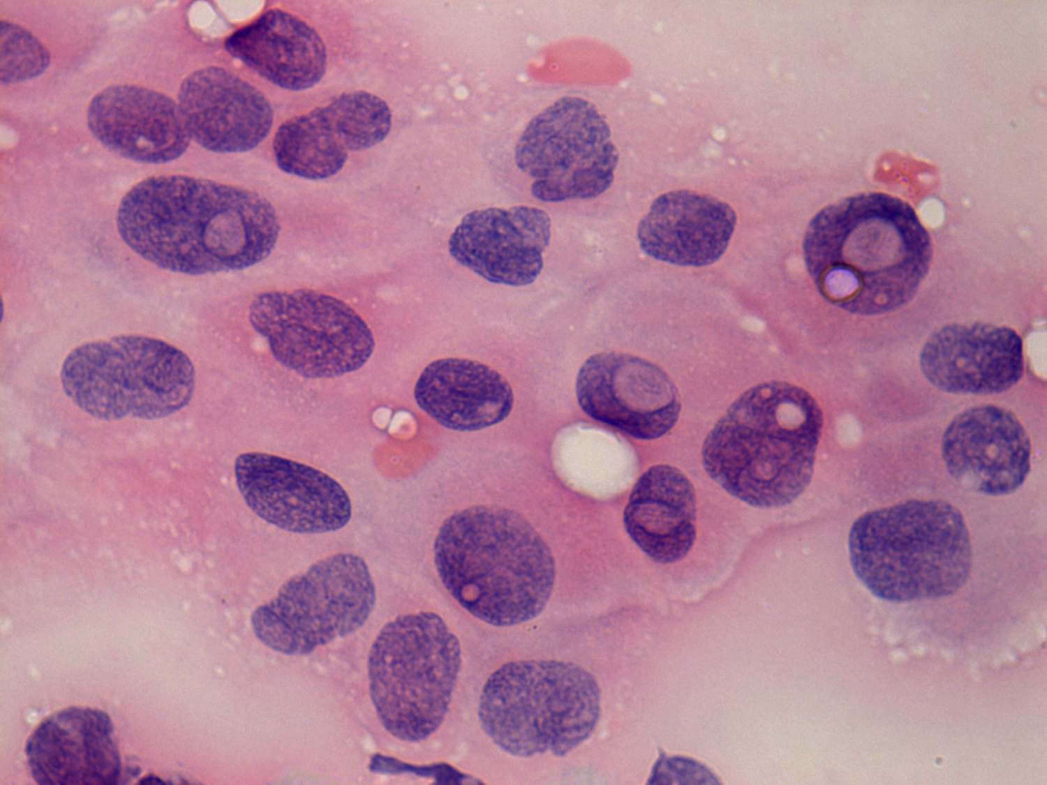
Intranuclear holes marked with green arrows are only projections of
extracellular vacuoles, while characteristic inclusions are marked with
red. |
|
|
 |
 |
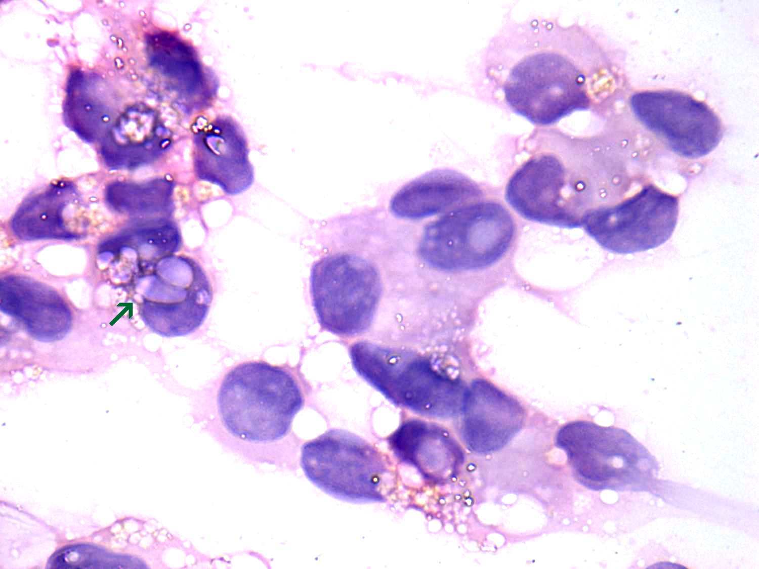
It is worth analyzing thoroughly the inclusion pointed
with red arrow. It is not an artifact caused by projection of a vacuole
seen elsewhere on the smear. Note that through this inclusion we can
see the contours of another nucleus located under that which contains
the whole. This is the essence of intranuclear inclusion: it is an
invagination of nuclear membrane which punches in the nucleous. The
nature of all other intranuclear holes in the image is doubtful, we can
found holes which are with great probability pathognomic inclusions
(e.g. two marked with green) while others are more likely are only
projections (see nuclei marked with yellow).
|
| |
|
|
|
 |
 |
|
Note that intranuclear pseudo-inclusions are related to the
vacuolization. The vacuoles within the cells are identical to those
outside the nuclei. Overinterpretation should be avoided. It is worth
analyzing the hole in the right image marked with green arrow. This
hole exceeds the border of the nucleus. It is the absolute proof
against an intranuclear inclusion.
|
| |
|
Chronic lymphocytic thyroiditis - Case 25
|
 |
 |
|
The nuclei are light and the chromatin is condensed to the periphery.
There is a suspicious hole in the right image. This is not absolutely
round but is surrounded with a dark rim.
|
| |
|
|
|
 |
 |
|
Two cells marked with green arrows contain inclusion-like empty holes.
These are probably drying artifacs because most of the remaining cells
have similar, but not round empty intranuclear holes. If the latters
are drying artifacts than we can conclude that the regular, round
inclusions are also such projections. Drying artifact are not regularly
round, they have not sharp but blurred borders and lack dark rim around
the hole.
|