Differential diagnostics of papillary cellgroups
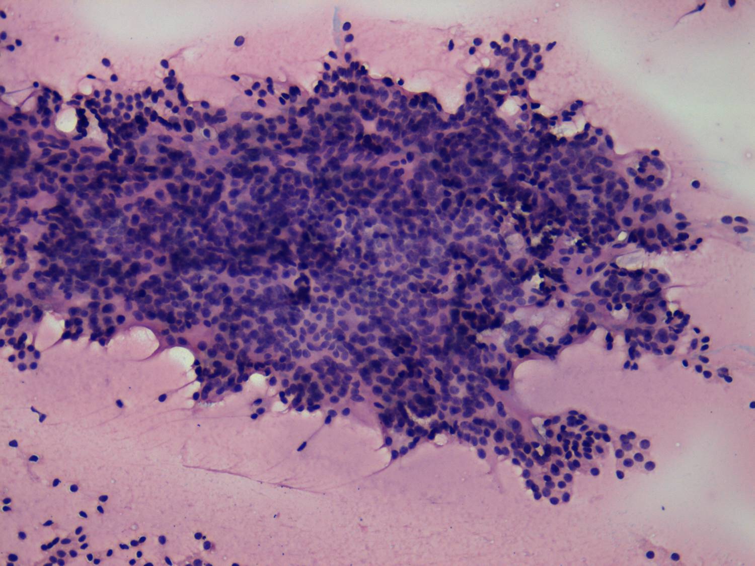
Papillary cancers - Case 46
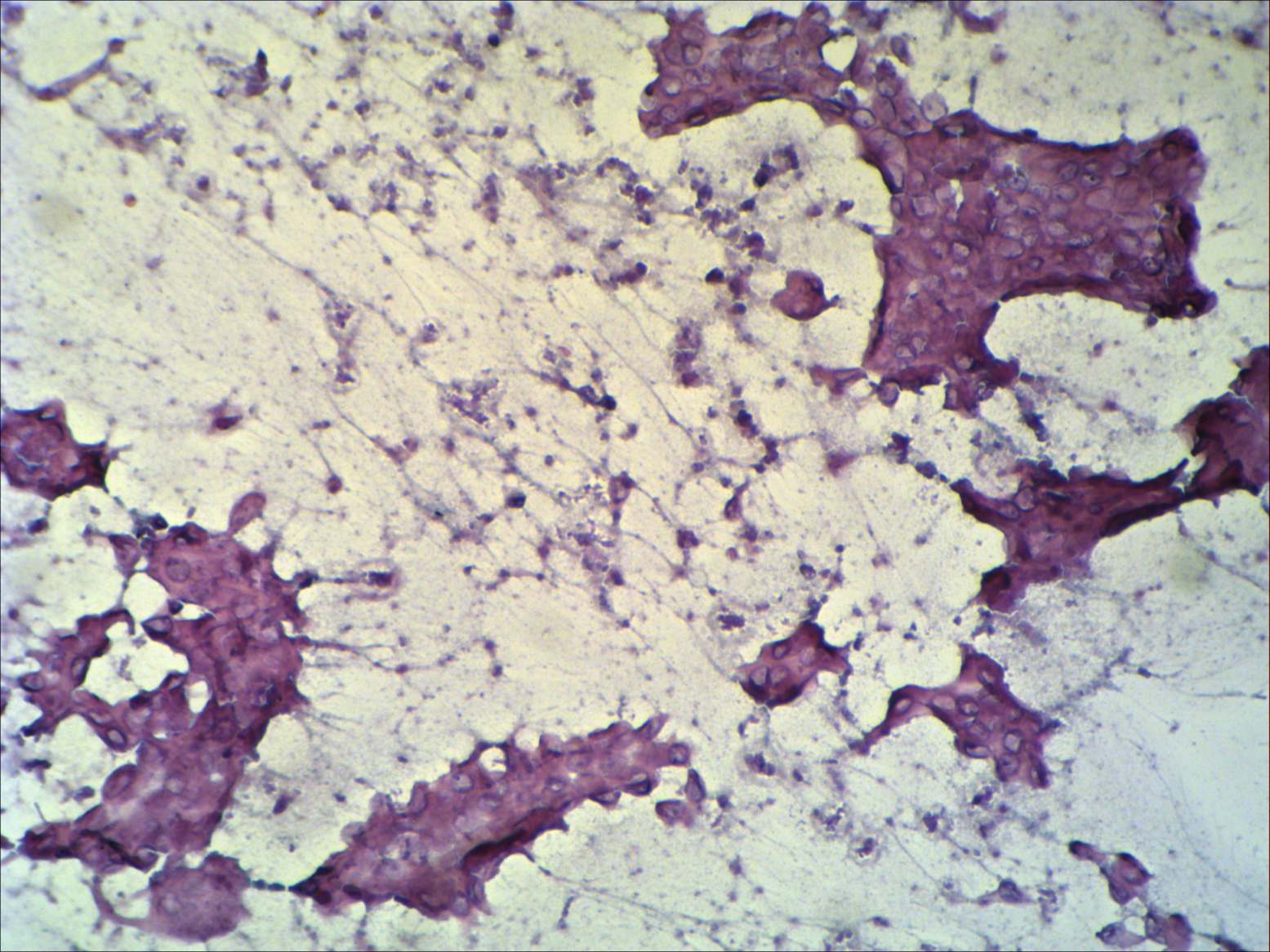
Benign hyperplastic nodules - Case 18
   


Papillary cancers - Case 46


Benign hyperplastic nodules - Case 20
   

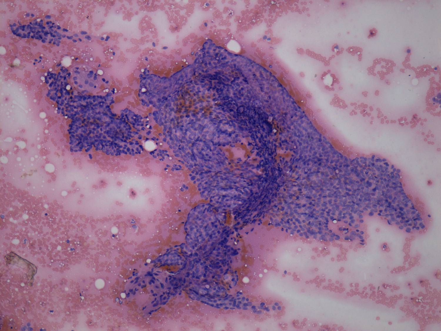
Papillary cancers - Case 35

Benign hyperplastic nodules - Case 17

Compare papillary structures of papillary cancer and hyperplastic nodules:

Papillary carcinoma
 
Hyperplastic benign nodule
Sharp, regular
Borders of the papilla
Irregular
No
Tendency of cells to dissociate
Yes
Not present
Vacuoles at the edge of the papilla
Present
     
mask