Papillary carcinoma - Case 46. |
|
Clinical data: A 17-year-old girl was referred for evaluation of a nodule discovered by herself 3 weeks ago.
Palpation: a very firm nodule with uneven surface in the left lobe.
Functional state: euthyroidism (TSH-level 1.89 mIU/L).
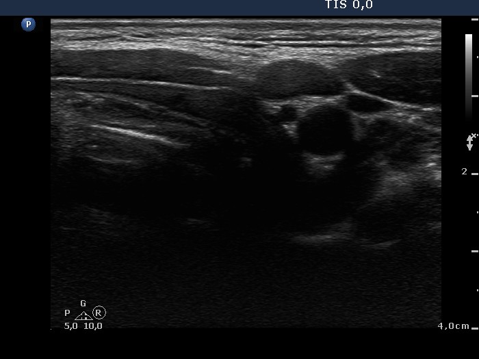
Ultrasonography: The thyroid was echonormal with a small insignificant moderately hypoechogenic lesion in the right lobe. There was a hypoechogenic nodule in the left lobe. The nodule contained numerous microcalcifications and coarse calcification, as well. The intranodular blood flow was a little bit increased. We found an enlarged lymph node in the left side of the neck.
Cytological picture: There was no colloid in the background. The pattern was characterized by the presence of irregular clusters with nuclear crowding and overlapping. There were several typical papillary fronds. The thyrocytes were enlarged. I have found only a few grooves and one inclusion on the smear.
Cytological diagnosis: suspicion of papillary carcinoma.
Histopathology disclosed a hyperplastic nodule in the right lobe while a papillary carcinoma destroying the borders of the organ in the left lobe. Metastatic lymph nodes were in both sides of the neck.










